Fig. 7
From: Patella fractures treated with suture tension band fixation

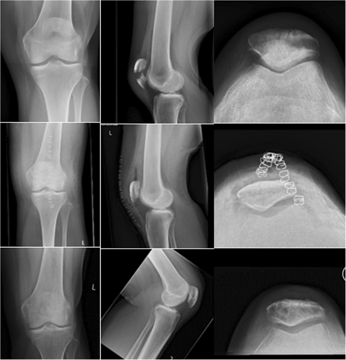
Pre-, post-, and 6-month postoperative X-rays (above, middle and below, respectively) of patient 6, a 58-year-old woman with a simple transverse patella fracture
From: Patella fractures treated with suture tension band fixation

Pre-, post-, and 6-month postoperative X-rays (above, middle and below, respectively) of patient 6, a 58-year-old woman with a simple transverse patella fracture